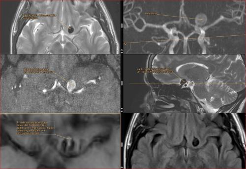
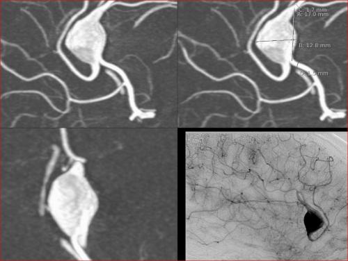
Aneurysma re. 7 mm Darstellung in einer DSA (digitalen Subtraktionsangiographie) links nur ein 2 mm „Baby-Aneurysma“ Im MRT war zuvor das linke Aneurysma aufgefallen, die Auflösung einer DSA ist technisch im MRT nicht erzielbar, beide A. liegen in der ACM Bifurkation jeweils, das re. Aneurysma wurde erfolgreich operiert, das linke Aneurysma wird kontrolliert.